دسته بندی ها
- - تاثیر دخانیات بر دهان و دندان (1)
- - خدمات درمانی (128)
- - خدمات زیبایی (39)
- - نظافت و بهداشت دندان (18)
- - جراحی دهان و دندان (5)
- - جراحی دهان و دندان (6)
- - درمان ریشه دندان (2)
- - دندانپزشکی اطفال (3)
- - دندانپزشکی در بارداری (1)
- - پوسیدگی دندان چیست ؟ (1)
- - بریج دندان (1)
- - ایمپلنت دندان (3)
- - خدمات دندانپزشکی در کرج (11)
- - نکات مهم در مسواک زدن (3)
- - آیا گوش درد به دندان درد مربوط می شود ؟ (1)
- - ترس از دندانپزشکی و فوبیای دندانپزشکی چیست ؟ + راه حل آن (1)
- - مقالات بیشتر (2)
آخرین مطالب
برچسب ها
- افتادن لمینت دندان
- علت افتادن لمینت دندان
- خطرات کشیدن دندان عفونی
- کشیدن دندان عفونی
- درمان خوابیدن با دهان باز
- خوابیدن با دهان باز
- کامپوزیت
- کامپوزیت دندان آی پی اس
- جلوگیری از پوسیدگی دندان در کودکان
- دندانپزشکی کودکان کرج
- دندانپزشکی اطفال کرج
- انحراف فک و راههای درمان آن
- نکات و مراقبت های بعد از جراحی لثه که باید بدانید
- درمان عفونت لثه وقرص ها و دارو ها
- مراحل پیوند استخوان دندان ( فک بالا و پایین )
- مراحل انجام بریج دندان
- بوی بد دهان ( درمان خانگی و معجزه آسا )
- مراقبت های بعد از کشیدن دندان
- سفید کردن دندان مصنوعی ( بهترین روش های سفید کننده )
- تحلیل رفتن استخوان فک
- بهترین مرکز ایمپلنت و ارتودنسی در کرج
- لیست قیمت روکش دندان جدیدترین آپدیت 1403 ( ارزان و معتبر )
- عفونت ایمپلنت دندان: علل، علائم و درمان
- معرفی و شناخت ابزارهای ارتودنسی دندان به زبان ساده
- تزریق بی حسی در دندانپزشکی
- بهترین مارک دندان مصنوعی برای تمام سنین + قیمت
- قیمت لمینت دندان اقساطی در کرج +کاربرد آن
- قفل شدن فک یا تریسموس چیست ؟ راه های درمان آن
- به روزترین قیمت ارتودنسی دندان ( فک بالا و پایین ) سال 1403
- بهترین کلینیک دندانپزشکی کرج ( ارزان قیمت ) + آدرس
- چه کسانی باید از درمان ارتودنسی استفاده کنند ؟
- 8 مشکل دندانی که باید در سن 7 سالگی بدانید
- چه کسانی نیازمند استفاده از دهانشویه هستند ؟
- آموزش صحیح و اصولی مسواک زدن دندان 0 تا 100
- هزینه جراحی لثه با کمترین قیمت در کرج
- معرفی بهترین مسواک های ایران و جهان
- تعرفه های دندانپزشکی در سال 1403 در کرج
- همه چیز درباره ژل بی حسی دندان
- چند روز بعد از جراحی لثه بخیه کشیده می شود ؟
- نکات مهم قبل از کشیدن دندان که باید بدانید !
- درمان های طبیعی بیماری لثه و پوسیدگی دندان
- حفره خشک دندان چیست ؟
- چه مدت بعد از کشیدن دندان می توان کاشت ایمپلنت را انجام داد ؟
- عوارض درمان ناقص ریشه دندان
- بهترین دندانپزشکی اقساطی در کرج کجاست ؟
- آیا ایمپلنت دندان محدودیت سنی دارد ؟
- همه چیز درباره جراحی لثه در کرج
- دوام بلیچینگ دندان چقدر است ؟
- ارتودنسی بهتر است یا کامپوزیت ؟
- معرفی تکنولوژی ها در دندانپزشکی سال 1403
- علت لق شدن دندان چیست ؟ آیا درمان خانگی برای آن وجود دارد ؟
- دندان های خلفی و قدامی کدام دندان ها هستند ؟
- بهترین دندانپزشک در کرج + آدرس و شماره تلفن
- فورسپس دندانپزشکی چیست ؟ انواع آن و کاربرد آن
- قیمت و هزینه بلیچینگ دندان در سال 1403 در کرج
- همه چیز درباره ارتودنسی دیمون
- قیمت کشیدن دندان در کرج سال 1403
- 8 نکته مهم درباره حساسیت دندان ها
- علت دندان درد در هنگام خوردن خوراکی شیرین
- ایمپلنت سوئیسی چیست و چه مزایایی دارد ؟
- برای درد لثه چه قرصی بخوریم ؟
- آیا کاشت ایمپلنت دندان برای زنان باردار مضر است ؟
- اگر دندان عصب کشی شده پر نشود چه عوارضی دارد ؟
- عصب کشی دندان چیست و چطور انجام می شود ؟
- بستن فاصله ی بین دندان ها در کرج
- قیمت لمینت دندان در کرج !
- 4 مورد از مسواک های دهانی که احتمالا نمی دانستید
- بهترین متخصص ارتودنسی دندان در کرج کیست ؟
- انواع دندان مصنوعی ژله ای کدام اند ؟
- زخم گوشه لب را چطور درمان کنیم ؟
- دلایل تعویض کامپوزیت های قدیمی چیست ؟
- بهترین خمیر دندان برای کودکان چه می باشد ؟
- بایت بلاک دندان چیست ؟ چه کاربردی دارد ؟
- قیمت سفید کردن فوری دندان با بلیچینگ
- قیمت لمینت دندان در سال 1403 + انواع آن
- چه زمانی باید دندان عقل کشیده شود ؟
- علت افتادن روکش دندان !
- قیمت ایمپلنت دندان در کرج در سال جدید ( 1403 )
- مهم ترین نکات محافظت از دندان در عید نوروز
- عقب بودن فک پایین چطور درمان می شود ؟
- ویتامین های ضروری برای دندان و لثه کودکان
- هرچند وقت یکبار باید به دندانپزشکی مراجعه کنیم ؟
- 5 راهکار تضمینی و مهم برای مسواک زدن کودکان
- بهترین قیمت جرمگیری دندان در کرج
- بهترین سن ارتودنسی دندان کودکان چه سنی است ؟
- آیا دیابت باعث آسیب به دندان و لثه می شود ؟
- بعد از ایمپلنت دندان چه بخوریم ؟
- علت خشکی دهان چه می باشد ؟
- 7 روش سریع سفید کردن دندان !
- علائم عفونت ایمپلنت دندان چیست ؟
- معایب و عوارض عصب کشی دندان چیست ؟
- نکات مهم درباره جراحی لثه با لیزر
- قالب گیری دندان چگونه است ؟
- پالپ دندان چیست ؟
- 4 روش مهم برای جلوگیری خونریزی لثه بعد از جراحی
- زمانی که دندانمان شکسته شد چه کاری انجام بدهیم ؟
- همه چیز درباره استریل و اتاق سی اس آر
- 10 غذا و نوشیدنی با مزایای سلامت دهان و دندان
- درمان آفت دهان
- همه چیز درباره ارتودنسی نامرئی
- 5 علائمی که نشان می دهد دندان به عصب رسیده است
- فیشور سیلانت چیست ؟
- ترومای دندان چیست ؟
- ایمپلنت دیجیتال چیست ؟
- ارتودنسی در جهانشهر چگونه است ؟
- بهترین دندانپزشکی اطفال در کرج
- علت سیاه شدن روکش دندان چیست ؟
- پرکردن دندان با آمالگام بهتر است یا کامپوزیت ؟
- 5 تا از بهترین روش های تقویت مینای دندان
- مهم ترین سوالات دندانپزشکی در کرج
- لکه های سیاه رنگ دندان چیست ؟
- 5 روش برای از بین بردن جرم پشت دندان
- چرا باید از نخ دندان استفاده کرد و انواع نخ دندان
- مسواک برقی بهتر است یا معمولی ؟
- بهترین دندانپزشکی در کرج
- بهترین برند دندان مصنوعی
- ترس از دندانپزشکی و فوبیای دندانپزشکی چیست ؟
- باندینگ دندان چیست ؟
- ترمیم کامپوزیت دندان در چه شرایطی نیاز است ؟
- تاثیر مواد قندی بر دندان ها
- قیمت و هزینه جراحی دندان عقل در کرج !
- علت دندان درد در شب و درمان آن
- تاثیر آدامس بر دندان
- آیا بیماری لثه باعث حمله قلبی می شود ؟
- روش هایی برای مرتب کردن دندان بدون ارتودنسی
- 5 حقیقت درباره سفید کردن دندان ها
- چطور از شر لکه های دندان خلاص شویم ؟
- فلورایدتراپی دندان در کرج
- ارتباط بین گوش درد و دندان درد در کرج!
- 3 دلیل برای اینکه ایمپلنت دندان لق می شود !
- درمان ریشه چیست ؟
- تاثیر دیابت بر دهان و دندان
- دندانپزشکی اطفال
- دندانپزشکی در دوران بارداری
- چرا دندان های انسان دچار پوسیدگی می شود ؟
- آشنایی با بریج دندان
- همه چیز درباره لمینت دندان
- خدمات (بلیچینگ دندان)
- علت و بررسی خونریزی لثه
- تاریخچه دندانپزشکی در ایران و ایران باستان
- تفاوت های لمینت و کامپوزیت دندان
- سرطان دهان چیست ؟
- همه چیز درباره ارتودنسی دندان
- خدمات درمانی
- خدمات زیبایی
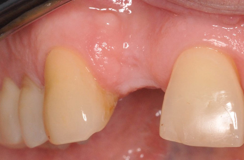
فاصله کشیدن دندان و گذاشتن دندان مصنوعی چقدر می باشد ؟
فاصله کشیدن دندان و گذاشتن دندان مصنوعی چقدر می باشد ؟
کشیدن دندان و قرار دادن دندان مصنوعی یا پروتز دندانی، دو مرحله اساسی در درمانهای دندانپزشکی هستند که میتوانند به دلیل بروز مشکلات مختلف در دندانها یا لثهها ضرورت پیدا کنند.
در این مقاله، به بررسی دلایل کشیدن دندان، زمان مناسب برای قرار دادن دندان مصنوعی، نکات مهم بعد از کشیدن دندان و انواع دندان مصنوعی خواهیم پرداخت همراه کلینیک دندانپزشکی دریا باشید .
شاید این مطلب برای شما مفید باشد: قیمت کامپوزیت دندان دنفیل + مزایا و معایب آن
دلایل کشیدن دندان

کشیدن دندان به دلایل مختلفی انجام میشود که در زیر به مهمترین آنها اشاره شده است:
1. عفونت دندان: عفونتهای دندانی میتوانند از طریق پوسیدگی به بافتهای اطراف گسترش یابند. در برخی موارد، درمانهای مرسوم مانند درمان ریشه نمیتوانند مشکل را برطرف کنند و کشیدن دندان بهترین گزینه میشود.
2. بیماریهای پریودنتال: بیماریهای لثه و بافتهای حمایتی اطراف دندانها میتوانند به تحلیل رفتن استخوان فک و افتادن دندانها منجر شوند. در این موارد، sometimes ممکن است دندانها نیاز به کشیدن داشته باشند.
3. دندانهای خراب: وقتی دندانهای آسیب دیده یا پوسیده به حدی میرسند که نمیتوان آنها را ترمیم کرد، کشیدن دندان بهترین راهکار میشود.
4. فشردهسازی دندانها: در مواردی که دندانهای اضافی بیشتر از فضای مورد نیاز در فک قرار گرفتهاند، دندانپزشک ممکن است پیشنهاد کند که برخی از دندانها کشیده شوند تا فضایی برای حرکت دندانهای دیگر فراهم شود.
5. آمادگی برای ارتودنسی: برای بعضی از تزئینات دندانی یا درمانهای ارتودنسی، ممکن است نیاز به کشیدن دندانها باشد تا فضای کافی برای دندانهای دیگر فراهم شود.
زمان مناسب برای قرار دادن دندان مصنوعی

پس از کشیدن دندان، زمان قرار دادن دندان مصنوعی به عوامل مختلفی بستگی دارد که در زیر به آن ها اشاره کرده ایم :
1. فرآیند بهبودی: پس از کشیدن دندان، بافت لثه و استخوان فک باید بهبودی یابند. این فرآیند معمولاً بین ۴ تا ۶ هفته طول میکشد، اما بسته به شرایط خاص بیمار، ممکن است این زمان متفاوت باشد. به عنوان مثال، افراد مسنتر یا کسانی که به بیماریهای خاصی مبتلا هستند، ممکن است به زمان بیشتری برای بهبودی نیاز داشته باشند.
2. نوع دندان مصنوعی: نوع دندان مصنوعیای که قرار است استفاده شود نیز تأثیر زیادی بر زمان قرار دادن آن دارد. دندانهای موقت معمولاً بلافاصله پس از کشیدن دندان قرار داده میشوند تا بیمار از راحتی بیشتری برخوردار شود. با این حال، دندانهای دائمی معمولاً زمانی قرار داده میشوند که لثهها به حالت طبیعی خود بازگردند.
3. پیشنهادات دندان پزشک: دندانپزشک معمولاً وضعیت بهبودی بافتها را ارزیابی کرده و بر اساس آن زمان مناسب برای قرار دادن دندان مصنوعی را توصیه میکند. این ارزیابی شامل معاینه لثهها، بررسی عفونتها و تجزیه و تحلیل فشارهایی است که ممکن است بر روی دندانهای طبیعی ایجاد شود.
نکات مهم پس از کشیدن دندان
رعایت نکات زیر پس از کشیدن دندان، میتواند به تسهیل بهبودی کمک کند:
1. استراحت و مراقبت از ناحیه جراحی: بعد از کشیدن دندان، نیاز به استراحت و خودداری از فعالیتهای سنگین وجود دارد. این امر میتواند به کاهش تورم و درد کمک کند.
2. تغذیه مناسب: در ۲۴ تا ۴۸ ساعت اول پس از کشیدن دندان، بیمار باید غذاهای نرم و مایعات مصرف کند. استفاده از غذاهای داغ و تند ممکن است درد را بیشتر کند و به ناحیه جراحی آسیب برساند.
3. رعایت بهداشت دهان: حفظ بهداشت دهان برای جلوگیری از عفونتهای احتمالی بسیار اهمیت دارد. بیماران باید از دهانشویههای ضدعفونیکننده و مسواک زدن ملایم در ناحیه جراحی استفاده کنند.
4. پیگیری وضعیت بهبودی: بیمار باید در صورت بروز درد شدید، خونریزی غیرطبیعی یا هر گونه علامت عفونت، فوراً به دندانپزشک مراجعه کند.
انواع دندان مصنوعی
دندانهای مصنوعی به دو دسته اصلی تقسیم میشوند:
1. دندان مصنوعی کامل: این نوع دندان برای افرادی که تمام دندانهای خود را از دست دادهاند مناسب است. معمولا پس از کشیدن تمام دندانها، یک دندان مصنوعی کامل ساخته میشود. این نوع دندان میتواند به صورت موقت قرار داده شود تا بیمار به راحتی با آن سازگار شود.
2. دندان مصنوعی جزئی: این نوع دندان مصنوعی برای افرادی که برخی از دندانهای خود را از دست دادهاند و هنوز دندانهای طبیعی دارند، طراحی میشود. دندان مصنوعی جزئی میتواند بهعنوان پل بین دندانهای طبیعی عمل کند و معمولاً به دندانهای طبیعی موجود متصل میشود.
چالشها و عوارض احتمالی آن ها

هر دو مرحله کشیدن دندان و قرار دادن دندان مصنوعی میتوانند چالشها و عوارض خاص خود را داشته باشند که در زیر به برخی از آنها اشاره میشود:
1. درد و ناراحتی: طبیعی است که پس از کشیدن دندان، بیمار ممکن است دچار درد و ناراحتی شود. این درد معمولاً با مصرف مسکنهای تجویزی و رعایت توصیههای بهداشتی بهبود مییابد.
2. تورم و کبودی: ممکن است در ناحیه جراحی، تورم و کبودی ایجاد شود. استفاده از کمپرس یخ در ۲۴ ساعت اول میتواند به کاهش این عوارض کمک کند.
3. عفونت: یکی از عوارض شایع بعد از کشیدن دندان، عفونت ناحیه جراحی است. رعایت بهداشت دهان و پیگیری وضعیت بهبودی میتواند به پیشگیری از این مشکل کمک کند.
4. عدم تطابق دندان مصنوعی: در برخی موارد، دندان مصنوعی ممکن است به درستی و راحتی در دهان قرار نگیرد. این مشکل میتواند ناشی از تغییرات شکل و حجم بافت لثه پس از کشیدن دندان باشد و نیاز به تنظیمات یا حتی ساخت مجدد دندان مصنوعی داشته باشد.
5. تغییرات در الگوی گفتار و غذا خوردن: در مراحل ابتدایی قرار دادن دندان مصنوعی، ممکن است بیماران با تغییراتی در الگوی گفتار و غذا خوردن روبهرو شوند. این تغییرات معمولاً با گذشت زمان و عادت کردن به دندان مصنوعی کاهش مییابند.
نتیجه گیری
در نهایت، فاصله بین کشیدن دندان و گذاشتن دندان مصنوعی به عوامل متعددی بستگی دارد که شامل وضعیت بهبودی بافت لثه، نوع دندان مصنوعی و توصیههای دندانپزشک میشود.
رعایت نکات بهداشتی و توصیههای دندانپزشک میتواند به بهبود سریعتر کمک کند. بهطور کلی، دیدگاه مثبت و تمایل به سازگاری با دندان مصنوعی میتواند تأثیر زیادی بر افزایش کیفیت زندگی افراد داشته باشد.
سخن پایانی
امروز در این مقاله سعی داشتیم که فاصله زمانی کشیدن دندان تا گذاشتن دندان مصنوعی را برای شما شرح دهیم که گذاشتن دندان مصنوعی می تواند چه چالش هایی را همراه خود داشته باشد .
کلینیک دندانپزشکی دریا واقع شده در قلب جهانشهر کرج می باشد که با سابقه ای درخشان و ارائه تمامی خدمات درمانی ، زیبایی و جراحی دندانپزشکی آماده ارائه خدمات به همشهریان عزیز در کرج ( جهانشهر ) می باشد .
شما همراهان عزیز کلینیک دندانپزشکی دریا می توانید جهت دریافت نوبت با شماره تلفن های زیر نوبت خود را ثبت کنید .
02634018992
02634018982
مقالات بیشتر
چه چیزهایی باعث خشکی دهان می شود ؟



