دسته بندی ها
- - تاثیر دخانیات بر دهان و دندان (1)
- - خدمات درمانی (128)
- - خدمات زیبایی (39)
- - نظافت و بهداشت دندان (18)
- - جراحی دهان و دندان (5)
- - جراحی دهان و دندان (6)
- - درمان ریشه دندان (2)
- - دندانپزشکی اطفال (3)
- - دندانپزشکی در بارداری (1)
- - پوسیدگی دندان چیست ؟ (1)
- - بریج دندان (1)
- - ایمپلنت دندان (3)
- - خدمات دندانپزشکی در کرج (11)
- - نکات مهم در مسواک زدن (3)
- - آیا گوش درد به دندان درد مربوط می شود ؟ (1)
- - ترس از دندانپزشکی و فوبیای دندانپزشکی چیست ؟ + راه حل آن (1)
- - مقالات بیشتر (2)
آخرین مطالب
برچسب ها
- افتادن لمینت دندان
- علت افتادن لمینت دندان
- خطرات کشیدن دندان عفونی
- کشیدن دندان عفونی
- درمان خوابیدن با دهان باز
- خوابیدن با دهان باز
- کامپوزیت
- کامپوزیت دندان آی پی اس
- جلوگیری از پوسیدگی دندان در کودکان
- دندانپزشکی کودکان کرج
- دندانپزشکی اطفال کرج
- انحراف فک و راههای درمان آن
- نکات و مراقبت های بعد از جراحی لثه که باید بدانید
- درمان عفونت لثه وقرص ها و دارو ها
- مراحل پیوند استخوان دندان ( فک بالا و پایین )
- مراحل انجام بریج دندان
- بوی بد دهان ( درمان خانگی و معجزه آسا )
- مراقبت های بعد از کشیدن دندان
- سفید کردن دندان مصنوعی ( بهترین روش های سفید کننده )
- تحلیل رفتن استخوان فک
- بهترین مرکز ایمپلنت و ارتودنسی در کرج
- لیست قیمت روکش دندان جدیدترین آپدیت 1403 ( ارزان و معتبر )
- عفونت ایمپلنت دندان: علل، علائم و درمان
- معرفی و شناخت ابزارهای ارتودنسی دندان به زبان ساده
- تزریق بی حسی در دندانپزشکی
- بهترین مارک دندان مصنوعی برای تمام سنین + قیمت
- قیمت لمینت دندان اقساطی در کرج +کاربرد آن
- قفل شدن فک یا تریسموس چیست ؟ راه های درمان آن
- به روزترین قیمت ارتودنسی دندان ( فک بالا و پایین ) سال 1403
- بهترین کلینیک دندانپزشکی کرج ( ارزان قیمت ) + آدرس
- چه کسانی باید از درمان ارتودنسی استفاده کنند ؟
- 8 مشکل دندانی که باید در سن 7 سالگی بدانید
- چه کسانی نیازمند استفاده از دهانشویه هستند ؟
- آموزش صحیح و اصولی مسواک زدن دندان 0 تا 100
- هزینه جراحی لثه با کمترین قیمت در کرج
- معرفی بهترین مسواک های ایران و جهان
- تعرفه های دندانپزشکی در سال 1403 در کرج
- همه چیز درباره ژل بی حسی دندان
- چند روز بعد از جراحی لثه بخیه کشیده می شود ؟
- نکات مهم قبل از کشیدن دندان که باید بدانید !
- درمان های طبیعی بیماری لثه و پوسیدگی دندان
- حفره خشک دندان چیست ؟
- چه مدت بعد از کشیدن دندان می توان کاشت ایمپلنت را انجام داد ؟
- عوارض درمان ناقص ریشه دندان
- بهترین دندانپزشکی اقساطی در کرج کجاست ؟
- آیا ایمپلنت دندان محدودیت سنی دارد ؟
- همه چیز درباره جراحی لثه در کرج
- دوام بلیچینگ دندان چقدر است ؟
- ارتودنسی بهتر است یا کامپوزیت ؟
- معرفی تکنولوژی ها در دندانپزشکی سال 1403
- علت لق شدن دندان چیست ؟ آیا درمان خانگی برای آن وجود دارد ؟
- دندان های خلفی و قدامی کدام دندان ها هستند ؟
- بهترین دندانپزشک در کرج + آدرس و شماره تلفن
- فورسپس دندانپزشکی چیست ؟ انواع آن و کاربرد آن
- قیمت و هزینه بلیچینگ دندان در سال 1403 در کرج
- همه چیز درباره ارتودنسی دیمون
- قیمت کشیدن دندان در کرج سال 1403
- 8 نکته مهم درباره حساسیت دندان ها
- علت دندان درد در هنگام خوردن خوراکی شیرین
- ایمپلنت سوئیسی چیست و چه مزایایی دارد ؟
- برای درد لثه چه قرصی بخوریم ؟
- آیا کاشت ایمپلنت دندان برای زنان باردار مضر است ؟
- اگر دندان عصب کشی شده پر نشود چه عوارضی دارد ؟
- عصب کشی دندان چیست و چطور انجام می شود ؟
- بستن فاصله ی بین دندان ها در کرج
- قیمت لمینت دندان در کرج !
- 4 مورد از مسواک های دهانی که احتمالا نمی دانستید
- بهترین متخصص ارتودنسی دندان در کرج کیست ؟
- انواع دندان مصنوعی ژله ای کدام اند ؟
- زخم گوشه لب را چطور درمان کنیم ؟
- دلایل تعویض کامپوزیت های قدیمی چیست ؟
- بهترین خمیر دندان برای کودکان چه می باشد ؟
- بایت بلاک دندان چیست ؟ چه کاربردی دارد ؟
- قیمت سفید کردن فوری دندان با بلیچینگ
- قیمت لمینت دندان در سال 1403 + انواع آن
- چه زمانی باید دندان عقل کشیده شود ؟
- علت افتادن روکش دندان !
- قیمت ایمپلنت دندان در کرج در سال جدید ( 1403 )
- مهم ترین نکات محافظت از دندان در عید نوروز
- عقب بودن فک پایین چطور درمان می شود ؟
- ویتامین های ضروری برای دندان و لثه کودکان
- هرچند وقت یکبار باید به دندانپزشکی مراجعه کنیم ؟
- 5 راهکار تضمینی و مهم برای مسواک زدن کودکان
- بهترین قیمت جرمگیری دندان در کرج
- بهترین سن ارتودنسی دندان کودکان چه سنی است ؟
- آیا دیابت باعث آسیب به دندان و لثه می شود ؟
- بعد از ایمپلنت دندان چه بخوریم ؟
- علت خشکی دهان چه می باشد ؟
- 7 روش سریع سفید کردن دندان !
- علائم عفونت ایمپلنت دندان چیست ؟
- معایب و عوارض عصب کشی دندان چیست ؟
- نکات مهم درباره جراحی لثه با لیزر
- قالب گیری دندان چگونه است ؟
- پالپ دندان چیست ؟
- 4 روش مهم برای جلوگیری خونریزی لثه بعد از جراحی
- زمانی که دندانمان شکسته شد چه کاری انجام بدهیم ؟
- همه چیز درباره استریل و اتاق سی اس آر
- 10 غذا و نوشیدنی با مزایای سلامت دهان و دندان
- درمان آفت دهان
- همه چیز درباره ارتودنسی نامرئی
- 5 علائمی که نشان می دهد دندان به عصب رسیده است
- فیشور سیلانت چیست ؟
- ترومای دندان چیست ؟
- ایمپلنت دیجیتال چیست ؟
- ارتودنسی در جهانشهر چگونه است ؟
- بهترین دندانپزشکی اطفال در کرج
- علت سیاه شدن روکش دندان چیست ؟
- پرکردن دندان با آمالگام بهتر است یا کامپوزیت ؟
- 5 تا از بهترین روش های تقویت مینای دندان
- مهم ترین سوالات دندانپزشکی در کرج
- لکه های سیاه رنگ دندان چیست ؟
- 5 روش برای از بین بردن جرم پشت دندان
- چرا باید از نخ دندان استفاده کرد و انواع نخ دندان
- مسواک برقی بهتر است یا معمولی ؟
- بهترین دندانپزشکی در کرج
- بهترین برند دندان مصنوعی
- ترس از دندانپزشکی و فوبیای دندانپزشکی چیست ؟
- باندینگ دندان چیست ؟
- ترمیم کامپوزیت دندان در چه شرایطی نیاز است ؟
- تاثیر مواد قندی بر دندان ها
- قیمت و هزینه جراحی دندان عقل در کرج !
- علت دندان درد در شب و درمان آن
- تاثیر آدامس بر دندان
- آیا بیماری لثه باعث حمله قلبی می شود ؟
- روش هایی برای مرتب کردن دندان بدون ارتودنسی
- 5 حقیقت درباره سفید کردن دندان ها
- چطور از شر لکه های دندان خلاص شویم ؟
- فلورایدتراپی دندان در کرج
- ارتباط بین گوش درد و دندان درد در کرج!
- 3 دلیل برای اینکه ایمپلنت دندان لق می شود !
- درمان ریشه چیست ؟
- تاثیر دیابت بر دهان و دندان
- دندانپزشکی اطفال
- دندانپزشکی در دوران بارداری
- چرا دندان های انسان دچار پوسیدگی می شود ؟
- آشنایی با بریج دندان
- همه چیز درباره لمینت دندان
- خدمات (بلیچینگ دندان)
- علت و بررسی خونریزی لثه
- تاریخچه دندانپزشکی در ایران و ایران باستان
- تفاوت های لمینت و کامپوزیت دندان
- سرطان دهان چیست ؟
- همه چیز درباره ارتودنسی دندان
- خدمات درمانی
- خدمات زیبایی
همه چیز درباره ارتودنسی دیمون
همه چیز درباره ارتودنسی دیمون ( ارتودنسی دیمون چیست ؟)
امروز در این مقاله در کلینیک تخصصی دندانپزشکی دریا درباره ارتودنسی دیمون صحبت خواهیم و در ادامه متوجه می شویم که ارتودنسی دیمون چیست و چه مزایایی دارد و منظور از ارتودنسی دیمون چیست ؟ تا انتهای این مطالب مهم همراه ما باشید .
قبل از هر چیزی شاید کلمه ارتودنسی برای شما کلمه ای ناشناخته باشد پس با ما همراه باشید تا بدانیم به صورت مختصر ارتودنسی چیست
ارتودنسی چیست ؟
به طور کلی و مختصر ارتودنسی یک نوع درمان در دندانپزشکی می باشد که این درمان برای درمان ناهنجاری های فکی و نا مرتب بودن دندان ها کاربرد دارد که توسط تجهیزات خاصی که دارد باید توسط متخصص ارتودنسی انجام شود .
همان طور که قبلا در مقاله های قبلی اشاره کرده ایم این درمان یکی از مهم ترین درمان ها در حوزه دندانپزشکی می باشد که باید توسط یک متخصص حرفه ای ارتودنسی و با تجهیزات کامل انجام شود .
حال که متوجه شدیم ارتودنسی چیست بهتر است که بدانیم انواع ارتودنسی ها کدام اند .
انواع ارتودنسی ها کدام اند ؟
در
مواردی که برای شما در زیر بیان می کنیم امروز درباره ارتودنسی دیمون با شما صحبت خواهیم کرد انواع ارتودنسی ها عبارتند از :
ارتودنسی ثابت
ارتودنسی سرامیکی
ارتودنسی لینگوال
ارتودنسی نامرئی
ارتودنسی متحرک
ارتودنسی دیمون
همانطور که در بالا مشاهده می کنید انواع ارتودنسی ها را برای شما نام برده ایم که امروز درباره ارتودنسی دیمون با شما عزیزان گفت و کو خواهیم کرد .تا انتهای این مطالب مهم و ضروری همراه ما باشید .
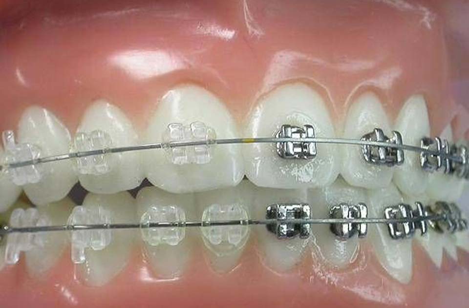
ارتودنسی دیمون چیست ؟
چیزی که امروز درباره آن به شما توضیحاتی خواهیم داد ارتودنسی دیمون می باشد بیایید تا با هم بدانیم که ارتودنسی دیمون چیست ؟ خیلی از افراد اطلاعاتی درباره ارتودنسی دیمون ندارند که ما به شما در این مقاله توضیحاتی به شما خواهیم داد .
یکی از روش های جدید در حوزه زیبایی دندان ارتودسی دیمون می باشد امروزه بسیاری از دندانپزشکان ارتودنسی ثابت از این روش یعنی ارتودنسی دیمون استفاده می کنند .
ارتودنس یدندان روش های مختلفی دارد که هر روش مناسب برای افراد خاصی می باشد بریس دیمون از روش های محبوب می باشد که در چند سال اخیر مورد توجه بسیاری از افراد مخصوصا متخصص های ارتودنسی قرار گرفته شده است .
این روش یک روش در ارتودنسی ثابت می باشد که روی دندان وصل می شود اصلی ترین تفاوت آن با ارتودنسی سنتی در نوع براکت آن می باشد در ارتودنسی های معمولی سیم ها به وسیله نوار الاستیکی به براکت وصل می شوند اما به همین دلیل هست که ظاهری خوبی را به دندان نمی دهد و تمیز کردن آن هم بسیار دشوار می باشد اما در روش ارتودنسی دیمون طراحی براکت ها بهتر شده اند و دارای مکانیزم باز و بسته شدن هستند و سیم به راحتی در این محفظه کشویی قرار می گیرد و همچنین سایز براکت ها کوچک تر شده اند و تمیز کردن آن ها نسبت به قبل ساده تر می باشند .
به طور کلی منظور ما از ارتودنسی دیمون ( DAMON SYSTEM ) را در بالا برای شما توضیح داده ایم .
عملکرد ارتودنسی دیمون چگونه است ؟
این نوع از ارتودنسی یعنی ارتودنسی دیمون مانند سایر روش ها از سیم (بریس) و براکت ارتودنسی بهره می گیرد اما بر خلاف روش های سنتی که از نوار های الاستیکی برای اتصال سیم به براکت استفاده می کنند ، در روش دیمون دیگر نیازی به استفاده از نوار های کشسانی نیست بریس های دیمون از سیستمی خود بست برای اتصال سیم های کمانی به براکت ها بهره می برد .
به این صورت که در خود براکت ها ، بخش کشویی داخلی وجود دارد که بر سیم اجازه می دهد تا در این محفظه ی کشویی آزادانه حرکت کند .
ارتودنسی دیمون نیز مزایایی هم دارد که در ادامه به مزایای این ارتودنسی هم پرداخته ایم
مزایای ارتودنسی دیمون چیست ؟
در ادامه با مهم ترسن مزایای ارتودنسی دیمون آشنا خواهیم شد که این مزایا مختص به ارتودنسی دیمون می باشند .
به طور کلی برخی از مزایای ارتودنسی دیمون را در زیر برای شما شرح داده ایم :
1 تجربه درد کمتر
در بسیاری از سال ها تصور می شد که برای حرکت دادن دندان های و ایجاد تغییرات باید حتما نیرو های پر فشاری را بر اساس میزان تحمل بیمار به دندان ها اعمال کرد در روش های سنتی اعمال فشار و نیروی بیشتر می تواند رگ های خونی ظریف را از بین ببرد و برای بیمار درد و ناراحتی زیادی را تجربه کند اما در این روش یعنی روش ارتودنسی دیمون با اینکه نیروی بسیار کمتری و ملایم تری را تجربه خواهید کرد نتایج آن می تواند شما را شگفت زده کند این موضوع نیز باعث تجربه درد کمتر در افراد می شود .
2 شکل ظاهری بهتر
بسیاری از افراد هستند که از ظاهر ارتودنسی زود رنج می برند و برای آن ها این ظاهر آزاردهنده می باشد اما ارتودنسی دیمون این مشکل را به راحتی حل کرده است و از طراحی اصولی برخوردار می باشد که تمیز کردن آن هم بسیار راحت تر از نمونه های معمولی ارتودنسی می باشد .
در نتیجه یکی از محبوبیت های این نوع از ارتودنسی را می توان همین موضوع دانست موضوعی که بسیاری از افراد به آن اهمیت می دهند .
3 دوره درمانی کمتر و کوتاه تر
شاید یکی دیگر از مزایای این نوع از ارتودنسی یعنی ارتودنسی دیمون را می توان دوره ی درمانی کوتاه تر آن دانست که این موضوع هم برای بیماران زیادی مهم می باشد .
تجربه نشان می دهد که استفاده از روش های بریس دیمون طول دوره ی درمانی را تا مدت هفت ماه کوتاه تر می کند .
4 مراجعه کمتر به دندانپزشک
معمولا در روش های ارتودنسی معمولی بیمار باید هر چند وقت یکبار به کلینیک دندانپزشکی خود مراجعه کند متخصص ارتودنسی بندهای الاستیکی بیمار را تعویض کند اما با استفاده از روش ارتودنسی دیمون تعداد دفعات مراجعه به پزشک کمتر خواهد بود از سوی دیگر دوره درمانی کوتاه تری را خواهید داشت .
معایب ارتودنسی دیمون
تا به اینجا ارتودنسی دیمون را همراه با مزایای آن به شما عزیزان توضیح و شرح داده ایم اما هر چیزی می تواند معایبی را داشته باشد که بهتر است از این معایب هم با خبر باشیم .
یکی از معایب این ارتودنسی یعنی ارتودنسی دیمون را می توان عدم مناسب بودن برای همه مراجعه کنندگان دانست
این موضوع که آیا ارتودنسی دیمون برای شما مناسب است یا خیر را باید متخصص ارتودنسی شما تشخیص دهد شرایطی مانند سن ، و نیاز بیمار به درآوردن دندان و طولب مورد نیاز هر بیمار برای درمان متفاوت می باشد که باید توسط متخصص ارتودنسی تمام موارد بررسی شود .
هزینه بالا این روش : معمولا این نوع از ارتودنسی از هزینه های زیادی برخوردار هست که می توان آن را یکی از معایب این نوع از ارتودنسی دانست اما در مجموع می توان گفت این هزینه به صرفه هست زیرا شما دفعات مراجعه به دندانپزشک را کاهش داده اید و ارزش دارد .
احساس درد در روز های اولیه را می توان یکی دیگر از معایب این نوع از ارتودنسی دانست .
مراقبت های لازم ارتودنسی دیمون
مراقبت های لازم ارتودنسی دیمون عبارتند از :
1 حتما روزانه حداقل دوبار مسواک بزنید و از نخ دندان مخصوص ارتودنسی استفاده کنید بیش از حد مسواک را روی دندان های خود نفشارید .
2 از دهانشویه ها استفاده کنید دهانشویه ها می توانند تکمیل کننده روند بهداشت شما باشند .
3 مراجعات دوره ای را حتما جدی بگیرید و به آن ها عمل کنید تا روند درمان تحت کنترل باشد و اقدامات لازم در صورت بروز مشکلات انجام شود .
4 غذا های سفت و سخت که جویدنشان به دندان های شما اسیب وارد می کند و فشار زیادی را روی دندان های شما می آورد را کنار بگذارید و از رژیم غذایی خود حذف کنید .
5 اگر فعالیت های روزانه شما زیاد هست و فعالیت های سنگین انجام می دهید و امکان وجود آسیب به ارتودنسی وجود دارد بهتر است که از محافظ های مخصوص در دهان استفاده کنید تا در صورت وارد شدن آسیب و ضربه ارتودنسی و دندان شما آسیبی نبیند .
سخن پایانی
کلینیک تخصصی دندانپزشکی دریا در کرج با ارائه بهترین خدمات دندانپزشکی می تواند بهترین خدمات را به مراجعه کنندگان عزیز در قلب جهانشهر هدیه دهد .
جهت دریافت نوبت می توانید از طریق شماره تلفن های نوبت دهی زیر نوبت خود را ثبت کنید .
02634018992
02634018982
مقاله های بیشتر
8 نکته مهم درباره حساسیت دندان ها
علت دندان درد هنگام خوردن خوراکی های شیرین







